Before & After
Lý do mọi người lựa chọn MINE
Lý do mọi người lựa chọn MINE
-
- B/A
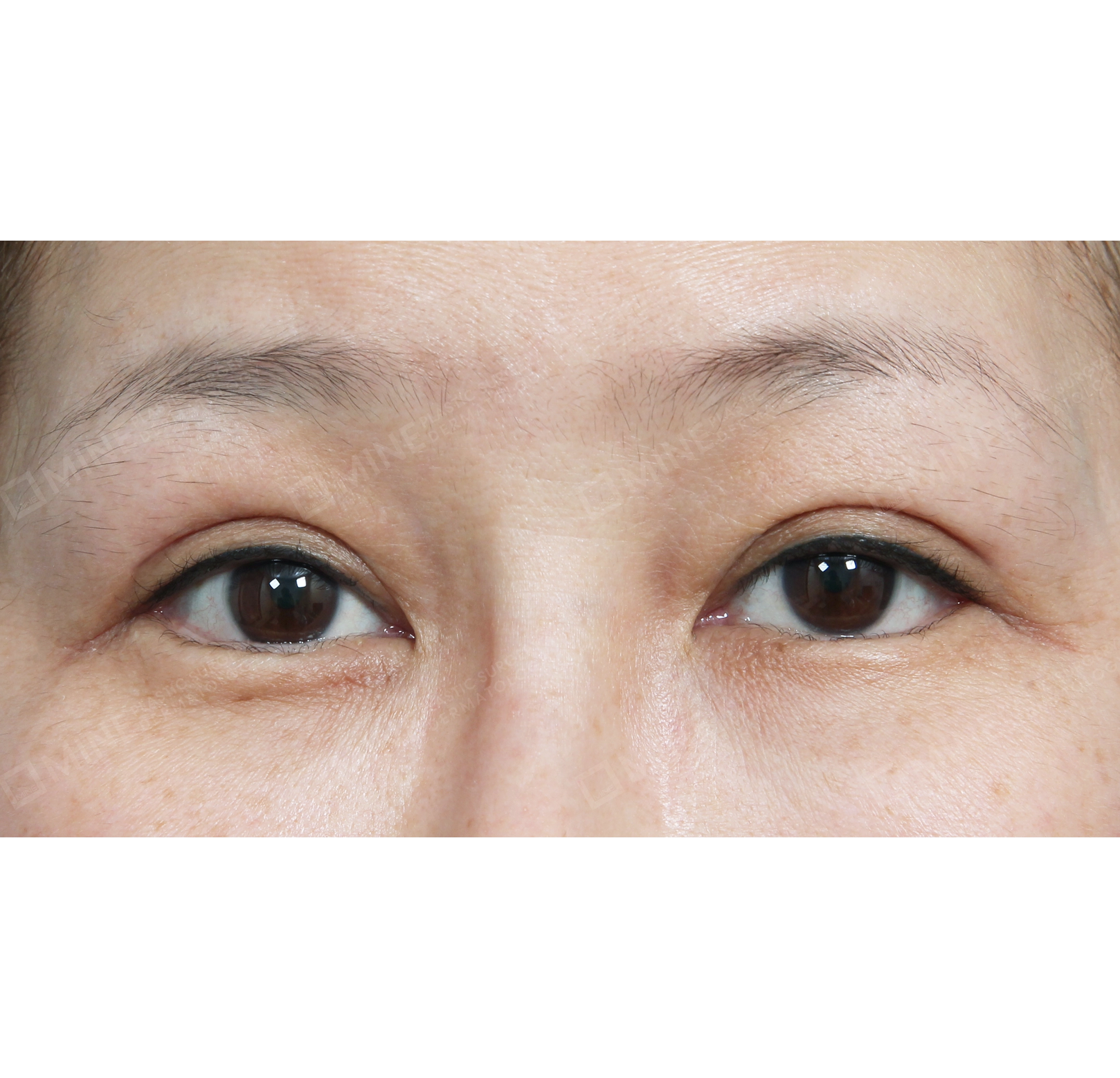
nâng cung mày + cắt da thừa mí trên + cắt da thừa mí dưới -
- B/A
nâng cung mày + cắt da thừa mí dưới + lấy mỡ hốc mắt -
- B/A
cắt da thừa mí trên + dàn trải mỡ hốc mắt -
- B/A
nâng cơ mí + mở góc mắt sau + mở góc mắt dưới -
- B/A
nâng cung mày + cắt da thừa mí trên + cắt da thừa mí dưới -
- B/A
cắt da thừa mí trên -
- B/A
- Góc nghiêng
- 45độ
Nâng sống mũi + đầu mũi + kéo dài đầu mũi + thu gọn cánh mũi -
- B/A
- Góc nghiêng
- 45độ
Tái phẫu thuật mũi -
- B/A
- Góc nghiêng
Chỉnh hình mũi lệch + gom xương + đầu mũi -
- B/A
- Góc nghiêng
- 45độ
Nâng sống mũi + thu nhỏ đầu mũi + kéo dài đầu mũi + cắt cánh mũi
phạt pháp lý vì vi phạm bản quyền và quyền chân dung.
Hình ảnh này có thể khác với hình ảnh thực tế tùy thuộc vào điều kiện chụp
và được đăng tải sau khi được sự đồng ý của bệnh nhân.

































